Implantul dentar este un dispozitiv metalic care se introduce în osul maxilar cu scopul de a înlocui unul sau mai mulți dinți. Implanturile dentare se pot folosi atât dacă lipsește un singur dinte, cât și în cazul lipsei mai multor dinți, până la toți dinții de pe arcadă.
P. Maria, 26 ani, Bucuresti

Tratament: 20 fatete eMax, toti dintii au ramas vitali. Durata: 7 zile.
N. Brandusa, 47 ani, Bucuresti

Tratament: 20 fatete eMax. Toti dintii au ramas vitali. Durata: 12 zile.
V. Roxana, 28 de ani, Galati

Tratament: albire lampa Zoom si obturatie compozit fotopolimerizabil. Durere 0, durata 1,5 ore.
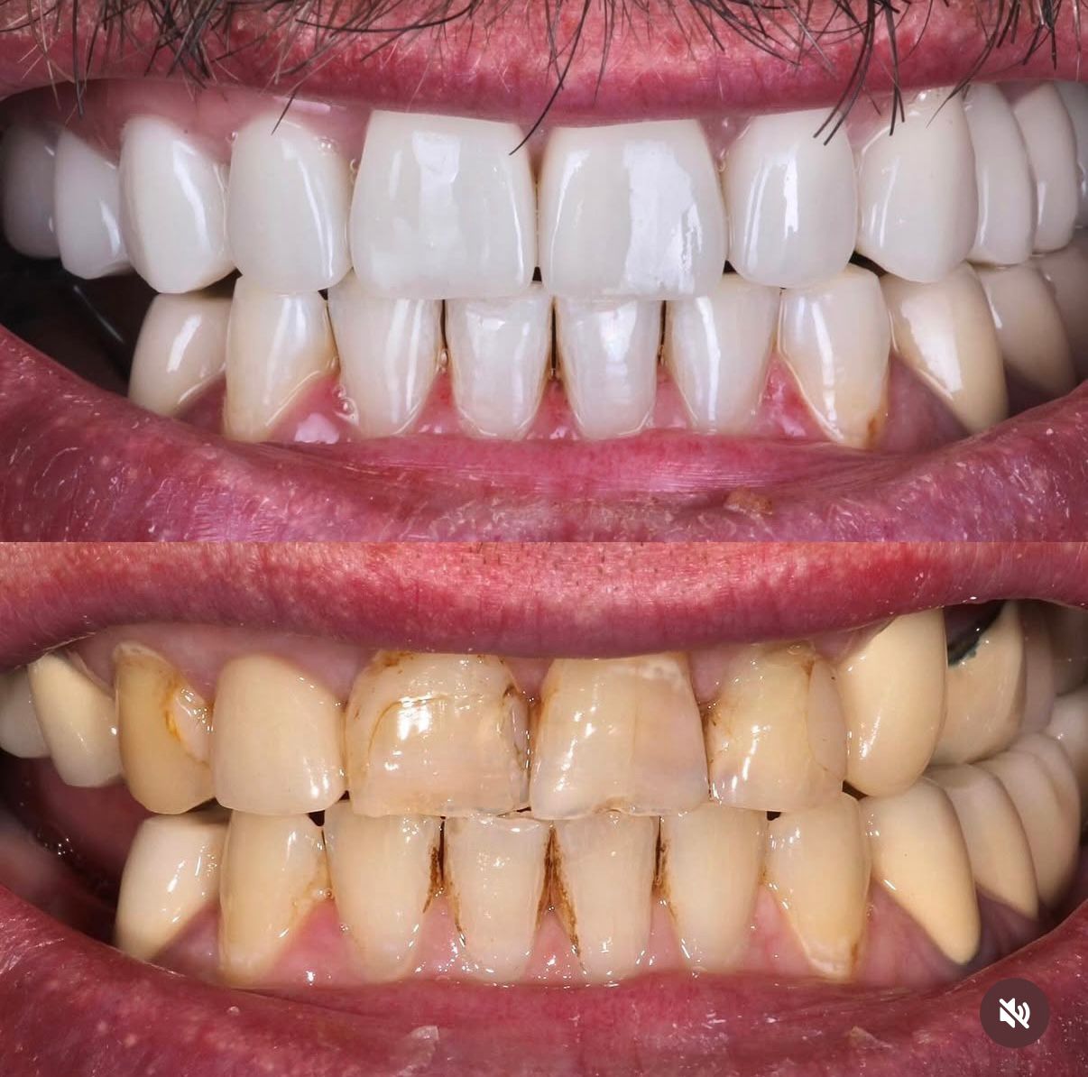
D. Teodor, 38 ani, Bucuresti

Tratament: Coroane de ceramica pe suport de zirconiu, fatete eMax si 5 implanturi Megagen.
V. Cristian, 45 ani, Buzau

Tratament: 28 de coroane de ceramica pe suport de zirconiu, individuale, reechilibrare ocluzala. Durata 14 zile.
C. Ramona, 23 ani, Bucuresti

Tratament: 10 fatete eMax si albire cu lampa Zoom la zona inferioara. Durata 10 zile.
D. Florin, 56 ani, Constanța

Tratament: coroane de ceramica pe suport de zirconiu, reechilibrare ocluzala. Durata: 4 luni.
S. Diana, 26 ani, București

Tratament: 14 fațete eMax , 4 coroane integral ceramice. Durata: 12 zile
M. Daniela, 38 ani, București

Tratament: 20 fațete eMax. Durata 10 zile
A. Simona, 52 ani, București

Tratament: 20 coroane de ceramică pe suport de zirconiu. Durata 3 săptămâni
G. Mircea, 46 ani, București

Tratament: 10 coroane integral ceramice EMAX. Durata: 10 zile
S. Corina, 39 ani, Tokio

Tratament: 20 fațete EMAX. Durata: 9 zile
P. Alexandru, 35 ani, București

9 fațete integral ceramice EMAX și o coroană de ceramică pe suport de zirconiu
V. Lavinia, 29 ani, București

Tratament: aparat dentar, implanturi, coroane integral ceramice EMAX, albire
C. Daniel, 34 ani, Slobozia

Tratament: mix de coroane și fațete EMAX. Durata: 30 zile
T. Stefan, 34 ani, Tulcea

Tratament: coroane de ceramică pe suport de zirconiu. Durata: 12 zile
P. Maria, 28 ani, Buftea

Tratament: aparat dentar, implanturi, coroane integral ceramice EMAX, albire
S. Mihaela, 55 ani, București

Tratament: lucrare veche, incorect adaptata cu coroane de ceramica pe suport de zirconiu. Durata 14 zile.
M. Markova, 31 ani, Bratislava

Tratament : 10 fatete e max. Toti dintii au ramas vitali . Durata 7 zile
R. Jurcanu , 36 ani, Bucuresti

Tratament: 16 fatete emax. Toti dintii au ramas vitali. Durata 8 zile
G. Bratosin , 68 de ani, Giurgiu

Tratament: 14 Coroane de ceramica pe suport de zirconiu
S. Margarit, 55 ani, New York

Tratament: 10 coroane de ceramică pe suport de zirconiu. Durata: 7 zile.
A. Teodor, 20 ani, Bucuresti

Tratament: 20 fațete Emax. Durata: 14 zile.
B. Bogdan, 32 ani, Miami

Tratament: gingivoalveolaplastie + 20 fațete Emax. Durata: 14 zile.
S. simona, 52 ani, Bucuresti

Tratament: coroane de ceramica pe suport de zirconiu la maxilar, mandibular fatete emax. Durata 14 zile
S. gheorghe , 82 ani, Giurgiu

Tratament: lucrare fixa pe implanturi, allon6 la maxilar, punte metalo-ceramica la mandibula. Durata 3 luni
R. Niculescu, 38 ani, Bucuresti

Tratament: Coroane de ceramica pe suport de zirconiu. Durata 21 de zile
M. Janka, 33 ani, Praga

Tratament : fatete e max. Toti dintii au ramas vitali. Durata 10 zile
D. Costache, 65 ani, Rouen

Tratament : implanturi si coroane de ceramica pe suport de zirconiu. Durata 3 luni
L. Diaconu, 28 ani, Bucuresti

Tratament: 20 fatete e max. Toti dintii au ramas vitali. Durata 10 zile
A. Mitroi, 50, Bucuresti

Tratament : 2 implanturi + fatete e max. Durata 12 zile
M. Anastasiu, 35, Bucuresti

Tratament: fatete e max, toti dintii ramasi vitali. Durata 8 zile.
V. Anghel, 38, Ploiesti

Tratament: fatete e max si albire dentara. Toti dintii au ramas vitali. Durata 10 zile
A. Popescu, 41, Bucuresti

Tratament: 3 implanturi si 2 fatete e max. Durata 14 zile.
I. Ionescu, 45, Bucuresti

Tratament: Fatate e max. Durata 7 zile.
V. Dumitru, 33, Bucuresti

Tratament: 20 fatete e max. Toti dintii au ramas vitali. Durata 10 zile
F. Matei, 42, Bucuresti

Tratament: Implant si fatete e max. Toti dintii au ramas vitali. Durata 10 zile
E. Stan, 46, Bucuresti

Tratament: implanturi si coroane de ceramica pe suport de zirconiu. Durata 3 luni
A. Iliescu, 39, Bucuresti

Tratament: 6 fatete e max. Toti dintii au ramas vitali. Durata 10 zile
C. Munteanu, 46, Bucuresti

Tratament: fatete e max. Toti dintii au ramas vitali. Durata 10 zile
P. Sorin, 39, Bucuresti

Tratament: fatete e max. Toti dintii au ramas vitali. Durata 10 zile
A. Maria, 43, Bucuresti

Tratament: Transformare completa cu fatete e max. Toti dintii au ramas vitali. Durata 7 zile.
B. Lucian, 45, Bucuresti

Tratament: Transformare completa cu fatete e max. Toti dintii au ramas vitali. Durata 10 zile.
M. Valeria, 39, Bucuresti

Tratament: Implant, coroana de ceramica pe suport de zirconiu, fatete eMax
