Zâmbetul este, de multe ori, prima carte de vizită. În estetica dentară modernă, fațetele reprezintă soluția „de aur” pentru a corecta imperfecțiunile de formă, culoare sau poziție ale dinților. Dacă te gândești să faci acest pas, este natural să ai întrebări despre proces, durată și ce se întâmplă după ce părăsești scaunul stomatologic.
Acest ghid îți va detalia parcursul complet, de la prima strângere de mână în cabinet, până la momentul în care te vei privi cu încredere în oglindă.



1. Primul pas: Consultația și Planul de Tratament
Nu orice zâmbet se tratează la fel. Prima etapă la Dr. Nicolau este dedicată ascultării nevoilor tale și evaluării sănătății dentare.
- Evaluarea clinică: Verificăm dacă există carii sau probleme gingivale care trebuie tratate anterior.
- Digital Smile Design: Folosim tehnologia pentru a proiecta viitorul tău zâmbet. Vei putea vedea o simulare a rezultatului final înainte de a începe procedura propriu-zisă.
- Alegerea materialului: Discutăm despre diferențele dintre fațetele din ceramică E-max (cele mai estetice și durabile) și cele din compozit.

2. Pregătirea dinților: Șlefuire minimă sau „No-Prep”?
Mulți pacienți se tem de șlefuirea dinților. Realitatea este că tehnicile moderne sunt extrem de conservatoare.
- Șlefuirea minim-invazivă: Se îndepărtează un strat infim de smalț (aproximativ 0.3 – 0.5 mm) pentru a face loc fațetei.
- Fațetele No-Prep: În anumite cazuri, fațetele pot fi aplicate direct pe dinte, fără nicio șlefuire prealabilă.
- Amprentarea: Luăm o amprentă digitală sau clasică, de o precizie microscopică, pe care o trimitem laboratorului de tehnică dentară.
3. Etapa interimară: Fațetele provizorii
Până când fațetele tale definitive sunt gata (de regulă 7-10 zile), nu vei pleca din clinică cu dinții șlefuiți la vedere. Aplicăm fațete provizorii care au două roluri:
- Protecție: Protejează dentina de sensibilitatea la cald/rece.
- Test drive: Te ajută să te obișnuiești cu noua formă și să ne oferi feedback pentru varianta finală.
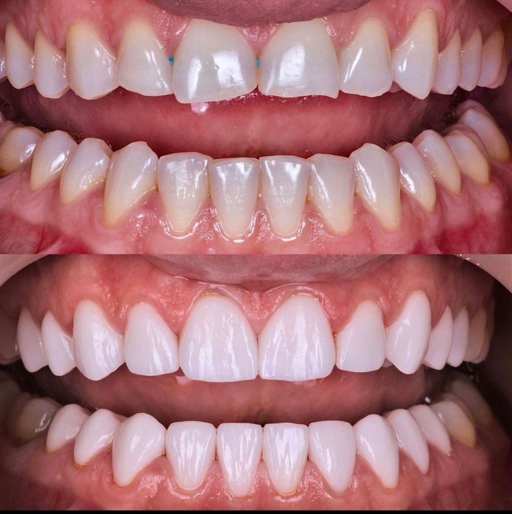
4. Cimentarea definitivă: Momentul transformării
Aceasta este etapa în care viziunea devine realitate. Proba finală verifică adaptarea marginală, culoarea și ocluzia (mușcătura). Dacă totul este perfect, fațetele sunt fixate printr-un proces de cimentare adezivă extrem de puternic, care transformă fațeta și dintele într-un tot unitar.

5. Perioada de recuperare: La ce să te aștepți?
Vestea bună este că nu există o perioadă de recuperare invazivă. Te poți întoarce la activitățile tale imediat, însă există o etapă de acomodare:
- Sensibilitatea tranzitorie: Este normal să simți o ușoară sensibilitate la temperaturi extreme în primele 3-5 zile.
- Acomodarea musculară: Buzele și limba „învață” noile dimensiuni ale dinților. Vorbirea poate părea ușor diferită în primele ore, dar creierul se adaptează rapid.
- Gingiile: Pot prezenta o ușoară iritare sau roșeață timp de 24-48 de ore după cimentare, care trece de la sine prin igienă riguroasă.
6. Întreținerea pe termen lung
Fațetele nu fac carii, dar dintele de dedesubt și gingia din jur au nevoie de îngrijire.
- Igiena: Periaj de două ori pe zi și utilizarea dușului bucal.
- Protecție: Dacă suferi de bruxism (scrâșnitul dinților), îți vom recomanda o gutieră de protecție pe timpul nopții.
- Control: Vizite regulate pentru igienizare profesională și verificare.
Întrebări frecvente
Datorită tehnologiilor adezive moderne din 2026, fațetele dentare din ceramică (E-max sau feldspatice) au o durată de viață cuprinsă între 10 și 15 ani, sau chiar mai mult, dacă sunt îngrijite corect. Acestea nu își schimbă culoarea în timp și sunt extrem de rezistente la petele de cafea sau tutun.
În prezent, la clinica Dr. Nicolau utilizăm tehnici de tip „No-Prep” sau „Minimal-Prep”. Aceasta înseamnă că șlefuirea este fie inexistentă, fie se rezumă la o pregătire superficială a smalțului, de ordinul a 0.2 – 0.3 mm, păstrând integritatea dintelui natural.
Nu, aplicarea fațetelor este o procedură minim invazivă. În cazul fațetelor fără șlefuire, nu este nevoie nici măcar de anestezie. Pentru cazurile care necesită o pregătire minimă, se folosește anestezie locală, astfel încât pacientul să nu simtă niciun disconfort.
Fațeta în sine, fiind din ceramică, nu se cariază. Totuși, dintele de sub fațetă rămâne viu și trebuie protejat printr-o igienă riguroasă. Periajul corect și folosirea dușului bucal sunt esențiale pentru a preveni acumularea plăcii bacteriene la joncțiunea dintre fațetă și gingie.
Fațetele din ceramică (porțelan) sunt superioare ca estetică, transluciditate și rezistență la pete, fiind realizate în laborator prin tehnologie CAD/CAM. Fațetele din compozit sunt mai accesibile ca preț și pot fi realizate într-o singură ședință, însă necesită întreținere mai frecventă deoarece se pot păta sau își pot pierde luciul în timp.